Full Mouth Reconstruction
Make Your Dream Smile a Reality With Smile Makeover
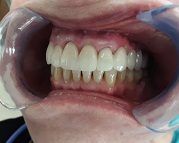
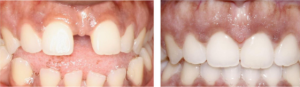
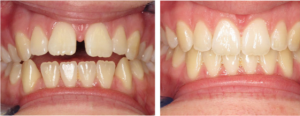
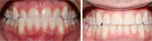
Cosmetic Dentistry
ALWAYS FREE CONSULTATION
At Tustin Dental Group, we value the opportunity to help you achieve a smile you can show off with pride. Our father and daughter team, Dr. Jafar Assaf and Dr. Gina Assaf, administer highly-personalized cosmetic dentistry services to brighten, align, reshape, repair and rejuvenate your smile to its optimal potential.
Are you ready to take the next step in attaining the smile you’ve always wanted? Contact our compassionate and knowledgeable team today to schedule your cosmetic consultation!
Comprehensive Cosmetic Solutions Created Just for You
Our dental team believes life should be lived with a smile that accentuates the natural beauty of your features while complimenting your personality. We follow this principle when crafting each treatment plan.
We begin each visit with hassle-free, respectful consultations followed by detailed, yet gentle examinations. Only when we determine your oral health is in optimal-standing will we recommend the treatments best suited for enhancing your smile.
Our team proudly provides the following cosmetic dentistry solutions
Rejuvenating Your Smile is Only a Phone Call Away
If you are currently unhappy with your smile, we want to help you achieve full confidence once more! Call or visit our practice today for more information on how your smile can be improved through our professional cosmetic treatments!
