Dental Implants
Rejuvenate Your Smile with Comprehensive Dental Implant Treatment in Tustin Dental Group
ALWAYS FREE CONSULTATION
Dental Implants
Permanent Solution for Missing Teeth
Dental implants are considered the best and most advanced dental solution available today for replacing missing teeth. They provide a strong, natural-looking, and long-lasting replacement that restores both function and appearance.
A dental implant consists of a small titanium post (implant screw) that is biocompatible with the human body. Over time, the jawbone naturally integrates with the implant, creating a stable and secure foundation for replacement teeth.
At Tustin Dental Group, we offer advanced dental implant treatments to help patients regain confident, healthy smiles.
Dental Implant Consultation and Planning
When you visit Tustin Dental Group for a dental implant consultation, our dentist will meet with you to discuss your options for replacing missing teeth.
We begin by:
- Taking digital X-rays
- Performing a CT scan of your jaw
- Examining and evaluating your bone structure
This allows us to determine:
- How many implants are needed
- The best locations for implant placement
- The most effective restoration option for your case
Dental Implant Placement Procedure
Your next appointment involves placing the dental implant into the jawbone. This procedure is performed under local anesthesia and typically takes about 60 minutes, depending on the number of implants placed.
After placement:
- The implant heals and integrates with the bone
- Healing typically takes 60–90 days
- Once healed, the implant is uncovered and the restoration process begins
Replacing Missing Teeth With Implant
Replacing one missing tooth
Replacing one tooth can be done by placing one implant screw in the area of missing tooth. This procedure is very simple and can be done within 45 minutes or less if no extraction involved. In some cases we can extract the bad tooth and place the implant post “screw” at the same appointment. After the healing process of 60-90 days, we place an implant crown over the implant post without touching the adjacent natural teeth.
Replacing two or more missing teeth with implant
When we are dealing with more than one missing tooth, then we can evaluate the oral and bone condition and determine to do multiple implant posts depending on how many teeth to replace. The options will be to place implant post for every missing tooth, if possible, and then do single implant crown for each missing tooth. Other option will be to do fixed implant supported bridge or fixed or removable implant partial.
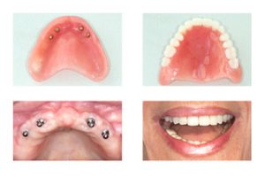
Replacing all missing teeth
Replacing all missing teeth will require doing 4-6 implant posts in upper and lower jaw depending on the treatment plan and the recommended replacement. After healing process, we can replace all missing teeth by a removable full denture that is supported by implant. This denture will tightly held by the implant to prevent any dislodging or movement inside the mouth. This denture can be removed by the patient to clean it and insert it back into the implant posts. The other option will be a fixed screw retained denture that is attached with screws to the implant…. This denture cannot be removed by the patient. The patient is advised to go to his dentist regularly to keep it clean.
The third option to replace all missing teeth is to do a full mouth fixed bridge or bridges…This is the best option and the result is amazing….
Why Choose Dental Implants at Tustin Dental Group?
At Tustin Dental Group, we are committed to delivering high-quality implant care using advanced technology and proven techniques. Our team provides personalized treatment plans focused on long-term success and patient comfort.
We offer a FREE dental implant consultation to help you explore your options and determine the best solution for your needs.
Schedule Your Dental Implant Consultation
If you are missing one or more teeth, dental implants may be the right solution for you.
Contact Tustin Dental Group today to schedule your free dental implant consultation.
